Realizan ISSSTE cirugía cerebral a paciente con COVID-19

Tras ser internado por una neumonía ocasionada por el virus SARS CoV-2, el paciente de 58 años presentó una hemorragia cerebral, por lo que tuvo que ser intervenido.

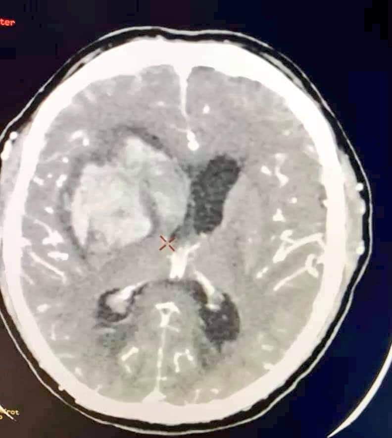
Foto: ISSSTE.

Redacción / La Voz de Michoacán

Ciudad de México. Un hombre de 58 años con COVID-19 fue operado por personal del nuevo Hospital General “Tláhuac”, en la Ciudad de México, tras ingresar por neumonía ocasionada por el virus SARS CoV-2, informó el Instituto de Seguridad y Servicios Sociales de los Trabajadores del Estado (ISSSTE).

PUBLICIDAD

El paciente presentó pérdida de la conciencia y tras ser atendido por el equipo de especialistas, se solicitaron estudios y se encontró una hemorragia en el cerebro. De no haber sido tratado, el padecimiento pudo ocasionar la muerte del paciente.

El hombre de 58 años ingresó al nosocomio el pasado 28 de enero por una neumonía ocasionada por el virus SARS CoV-2, durante su estancia presentó pérdida de la conciencia súbitamente, por lo que requirió ser conectado a un ventilador.

Tras su atención por el grupo de especialistas que se encuentran en primera línea de atención COVID, entre los que se incluyen neurocirujanos, se solicitaron estudios de tomografía, donde se encontró una hemorragia en los núcleos de la base del cerebro ocasionando hidrocefalia al obstruir las cavidades profundas del cerebro.

PUBLICIDAD

Lo anterior, ameritó someter al paciente a un procedimiento de urgencia, mediante una cirugía de mínima invasión para drenar la sangre acumulada y limitar daños graves.

“La hemorragia estaba ocasionando presión a su cerebro, comprometiendo el funcionamiento de este, con posibles secuelas a largo plazo o inclusive la muerte de no haber sido tratada oportunamente”, detalló el director normativo de Salud, Ramiro López Elizalde, quien como especialista estuvo pendiente de la evolución del paciente hasta que salió del hospital.

El procedimiento quirúrgico consistió en retirar el hematoma o masa de sangre producto de la hemorragia a través de un orificio en el cráneo del tamaño de una moneda, con la guía de un ultrasonido en tiempo real, para extraer cuidadosamente los restos de sangre y evitar tocar estructuras importantes del cerebro.